Implante Dentário em Fortaleza com Segurança, Precisão e Naturalidade
Recupere seu sorriso com um especialista em implantodontia, planejamento digital e atendimento personalizado para devolver estética, mastigação e confiança.
Mais de 20 anos de experiência e mais de 10.000 implantes realizados em uma clínica voltada para reabilitação oral com foco em previsibilidade, conforto e resultado natural.
Escolher onde realizar um implante dentário vai muito além do preço. Envolve experiência clínica, planejamento individualizado, tecnologia e segurança em cada etapa do tratamento. Na Delano Maia Odontologia, cada caso é analisado com critério para indicar a solução mais adequada às necessidades funcionais, estéticas e biológicas de cada paciente.
Você enfrenta algum
desses problemas?
Você enfrenta algum desses problemas?
Dificuldade para mastigar certos alimentos?
Vergonha de sorrir ou falar em público?
Dentadura solta ou que machuca?
Perda de dentes que afeta sua autoestima?
Medo de sentir dor em um tratamento
odontológico
Dificuldade para
mastigar certos
alimentos?
Vergonha de sorrir ou
falar em público?
Dentadura solta ou
que machuca?
Perda de dentes que
afeta sua autoestima?
Medo de sentir dor em
um tratamento
odontológico?
Se você se identificou com alguma dessas situações, saiba que hoje existem soluções modernas e seguras que podem transformar sua qualidade de vida.
Os implantes dentários permitem recuperar a mastigação, a estética do sorriso e a confiança com técnicas cada vez mais seguras e confortáveis.
Para oferecer um ATENDIMENTO PERSONALIZADO e com alto padrão de QUALIDADE,
nossa clínica realiza atendimentos EXCLUSIVAMENTE na modalidade PARTICULAR.
Por que tantos pacientes escolhem o Dr. Delano Maia?
• Atuação com foco em Implantodontia
• Atuação com foco em Implantodontia
• Especialista reconhecido em
Implantodontia pelo CRO/CFO
• Especialista reconhecido em Implantodontia pelo CRO/CFO
• Habilitação em Sedação
Inalatória reconhecida pelo CRO/CFO
• Habilitação em Sedação
Inalatória reconhecida pelo CRO/CFO
• 5 Estrelas nas Avaliações
do Google
• 5 Estrelas nas Avaliações do Google
Recupere seu sorriso com segurança
Recupere seu sorriso com implantes dentários seguros e naturais. Somos uma clínica especializada em implantes e protocolo sobre implantes em Fortaleza.
Disponibilizamos um tratamento de EXCELÊNCIA. São 20 anos de EXPERIÊNCIA e DEDICAÇÃO. Profissional especializado em implantes dentários e habilitado em sedação inalatória.
Cada paciente é único e por isso cada planejamento é feito de forma personalizada, respeitando necessidades, expectativas e objetivos. Trabalhamos para entregar mais do que tratamentos odontológicos: entregamos confiança para sorrir novamente. Voltar a ter dentes fixos pode ser mais simples do que você imagina.
Recupere seu sorriso com segurança
Recupere seu sorriso com implantes dentários seguros e naturais. Somos uma clínica especializada em implantes e protocolo sobre implantes em Fortaleza.
Disponibilizamos um tratamento de EXCELÊNCIA. São 20 anos de EXPERIÊNCIA e DEDICAÇÃO. Profissional especializado em implantes dentários e habilitado em sedação inalatória.
Cada paciente é único e por isso cada planejamento é feito de forma personalizada, respeitando necessidades, expectativas e objetivos. Trabalhamos para entregar mais do que tratamentos odontológicos: entregamos confiança para sorrir novamente. Voltar a ter dentes fixos pode ser mais simples do que você imagina.
Transforme sua autoestima com soluções modernas e seguras em implantodontia.
Acreditamos que sorrir com segurança transforma vidas. Por isso, oferecemos tratamentos especializados em implantes dentários e prótese protocolo sobre implantes, com técnicas modernas e planejamento individualizado para cada paciente.


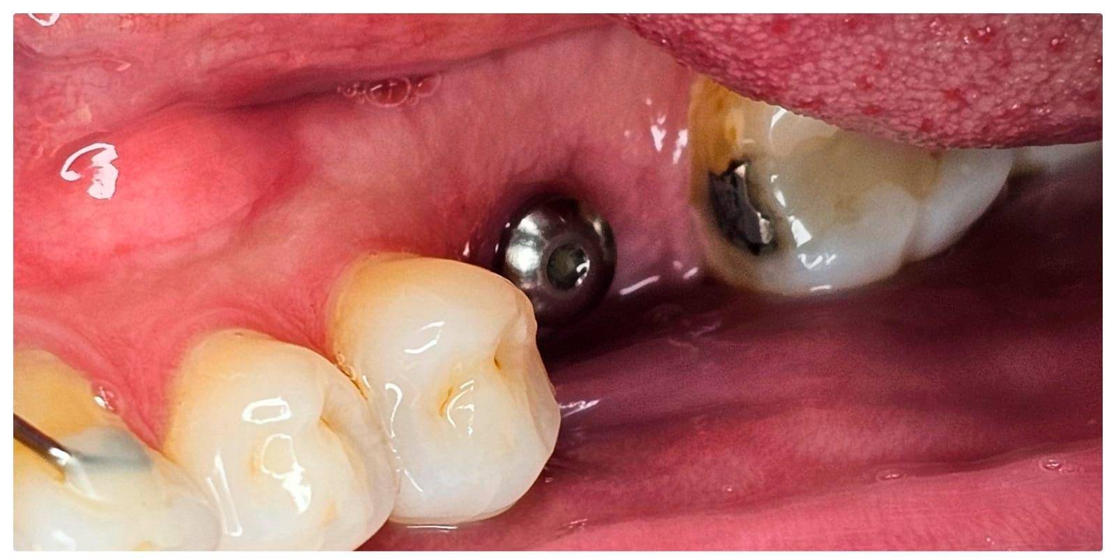
Cases de Sucesso
Confira alguns resultados que refletem o cuidado, a dedicação e a excelência da Delano Maia Odontologia
em cada tratamento realizado. Nossos cases de sucesso representam histórias reais de pacientes
que recuperaram não apenas o sorriso, mas também a confiança, o conforto e a qualidade de
vida por meio dos implantes dentários e protocolos sobre implantes.
Cases de Sucesso
Confira alguns resultados que refletem o cuidado, a dedicação e a excelência da Delano Maia Odontologia em cada tratamento realizado. Nossos cases de sucesso representam histórias reais de pacientes
que recuperaram não apenas o sorriso, mas também a
confiança, o conforto e a qualidade de vida por meio dos implantes dentários e
protocolos sobre implantes.
Na Delano Maia Odontologia, cada tratamento é planejado com foco na excelência, conforto e resultado natural.
Se você deseja recuperar seu sorriso com uma solução moderna e definitiva você está no lugar certo!
Visualize minhas avaliações no Google
Blog